Dental Emergencies Welcome | Welcoming New Patients
The image features a woman with glasses, smiling at the camera, standing in an indoor setting with a blurred background that suggests a professional environment.

Smile Gallery

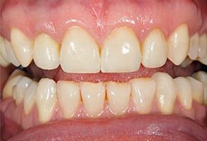
The image shows a person with yellowish teeth and gums, smiling broadly at the camera.

Before

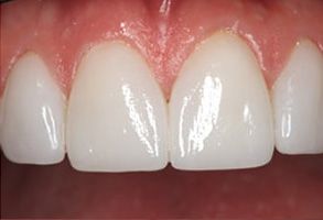
The image features a person with a bright smile showing straight white teeth, looking directly at the camera.

After

The image shows two close-up photographs of a person s teeth with yellowish stains and signs of decay, one on the left side of the mouth and the other on the right, both against a neutral background.

Before

The image shows a close-up view of an individual s teeth, with a focus on a yellowed front tooth and gumline, suggesting poor oral hygiene or dental health issues.

After

The image shows a close-up of a person s smiling face with teeth, displaying a wide smile and dimples around the eyes.

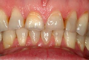
Before

The image shows a close-up of a person s mouth with teeth, featuring a smile, and there appears to be a small amount of facial hair on the chin.

After

The image displays a close-up view of a person s mouth with teeth showing signs of wear and possibly dental issues, including staining and decay, against a blurred background that appears to be a medical setting.

Before

The image shows two photographs side by side  on the left, a close-up of a person s mouth with a clean, white smile  on the right, a zoomed-in view of a tooth with a yellowish stain and chipped enamel.

After

The image displays two photographs of a person s mouth with teeth showing significant discoloration and decay, likely due to poor oral hygiene or dental issues.

Before

The image shows a close-up view of a person s teeth with a focus on their front teeth, which are white with some staining visible near the gumline.

After

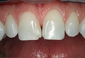
The image shows a close-up view of a person s teeth with noticeable staining, particularly on the front teeth, which are also missing some enamel.

Before

The image shows a close-up view of a person s teeth with a focus on the lower front teeth, where one tooth has been replaced with an artificial tooth that appears to be a different shade of white than the surrounding natural teeth.

After

The image shows a person s teeth with yellow staining and a metal wire across them, suggesting a dental issue such as discoloration or the need for orthodontic treatment.

Before

The image shows a close-up view of a person s teeth with a focus on the lower front teeth, which are visible in a smile.

After

Schedule a visit today!
Contact Us
SMS Consent
Submit

Thank You!

We appreciate you taking the time to visit our site. We'll review your message and be in touch with you soon.

Continue
The image shows a dental practice sign with the name  Dental Park  and a sign that reads  Dental Park  above the entrance, indicating its purpose as a dental clinic.